Traitements non chirurgicaux du cœur

Dilatation par ballonnet et implantation de stents

Dilatation par ballonnet et implantation de stents

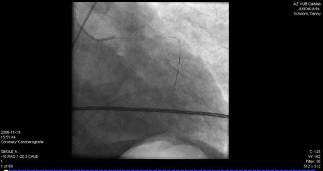
Lorsqu’un examen révèle un rétrécissement important de l’artère coronaire, il est souvent possible de l’agrandir avec un ballonnet (dilatation ou angioplastie). Le cardiologue laisse ensuite un petit tuyau (stent ou endoprothèse) en place pour maintenir la dilatation.

Avant le traitement

  • Le traitement et les risques potentiels qui y sont liés vous seront expliqués au préalable, à vous et à votre famille.
  • Vous devez être à jeun au moment de votre admission.
  • Le jour du traitement, une infirmière vous fera une prise de sang et vous posera une perfusion dans le bras.

Le traitement : dilatation par ballonnet

  1. Pendant la procédure, vous serez installé sur la table d’opération du laboratoire de cathétérisme, où vous resterez pleinement conscient. L’intervention est pratiquée en passant par l’artère fémorale ou radiale, après une anesthésie locale. Votre rythme cardiaque et votre tension artérielle seront surveillés attentivement.
     
  2. Une gaine d’introduction est insérée dans l’artère fémorale (dans le pli de l’aine) ou dans l’artère radiale (dans le poignet), permettant de faire coulisser un cathéter guide (un long fil souple) jusqu’à l’aorte. Le cathéter passe ensuite l’aorte et poursuit son chemin jusqu’à l’artère coronaire. Un fil guide parcourt le cathéter guide jusqu’à l’artère coronaire, en dépassant légèrement la sténose (rétrécissement).
     
  3. L’appareil à rayons X fait des clichés des coronaires selon différents angles et les images s’affichent sur les moniteurs. Le cathéter guide et le fil guide sont tous deux bien visibles sur le moniteur.
     
  4. L’injection d’un produit de contraste permet de localiser la sténose avec précision. Lorsque le fil guide est au bon endroit, le médecin fait coulisser la sonde à ballonnet jusqu’à la sténose et gonfle le ballonnet avec une pompe spéciale. Avec un ballonnet ordinaire, la plaque est repoussée contre la paroi du vaisseau, qui retrouve un diamètre suffisant pour alimenter le cœur en sang riche en oxygène.
     
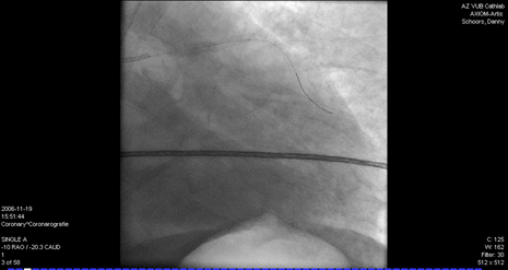
  5. Le ballonnet est ensuite dégonflé et extrait via le fil guide.
     
  6. Selon l’heure à laquelle l’examen prend fin, vous pourrez rentrer chez vous le jour même ou le lendemain.
     

Avant (figure 1) et après (figure 2) la dilatation

Le traitement : pose de stents

Souvent, le médecin décide aussi de poser un stent d’emblée. Le principe est le même, si ce n’est que le ballonnet est recouvert d’un stent, qui s’implante dans la paroi du vaisseau au moment où le ballonnet est gonflé. Le stent garantit que le vaisseau ne rétrécisse pas à nouveau au fil du temps.

  1. La sonde à ballonnet au niveau de la sténose.

  2. Le ballonnet se gonfle et pousse le stent contre la paroi du vaisseau.

  3. Le stent reste en place quand la sonde est extraite.

Après le traitement

  • Après le traitement, le cathéter est retiré de la coronaire et l’infirmière applique un pansement compressif pour éviter une hémorragie secondaire.
  • Vous devez ensuite rester alité quelques heures.